
The plot thickens.
As the globalists begin lubing the world's sphincter in preparation for a new fake pandemic, China has introduced visa-free entry and discounted entry fees to foreign travelers.
The enticements come as Chinese Communist Party officials "grapple" with the spread of a "mysterious pneumonia" outbreak that has left hospitals across the country "overflowing" with children.
A rather odd time to be making it easier than ever to visit China, isn't it?
I explained in my previous article how this emerging tale shares many parallels with the launching of the Great COVID Con in late 2019.
Come and Visit China, Land of "White Lung" and "Overcrowded Hospitals"
On November 24, the CCP’s Ministry of Foreign Affairs announced it would offer visa-free entry starting from December 1 to six countries: France, Germany, Italy, the Netherlands, Spain, and Malaysia.
On December 8, the CCP announced a 25 percent visa entry fee cut for travelers from other countries. The press has widely reported that 14 countries are eligible for the discounted visa fees, but at the December 8 press conference, CCP Foreign Ministry Spokesperson Wang Wenbin stated "It applies to all Chinese embassies and consulates overseas" (China has a total of 169 embassies, 96 consulates and 11 other diplomatic representations in about 171 countries around the world).
Ostensibly, the visa fee discount is designed to counter China's economic slowdown and loss of foreign investment by opening up its borders.
I submit that if a country really wanted to prevent economic slowdown, it wouldn't partake in egregious globalist virus scams centered around a pathogen that has never been isolated, and it wouldn't stoke unfounded paranoia by producing videos of crisis actors staging clearly fake "collapses".
While the official reason for the new visa changes is for China to attract international visitors and investors by simplifying entry procedures, they also provide the perfect cover story for a "rapid spread" of this "mystery" new illness around the world.
Last time, the official tale was that COVID was introduced to Northern Italy via flights from Wuhan. The Italians then spread it to the Spaniards courtesy of two soccer matches between Atalanta and Valencia in February and March 2020. After having viewed the sights and tasted the delights of the Mediterranean, “Sars-Cov-2” then took its 2020 World Domination Tour to every corner of the globe.
Never mind that what the mainstream had dubbed "Sars-Cov-2" has been detected in Barcelona wastewater samples as far back as March 2019, while in Italy separate groups of researchers detected the mythical virus in blood samples from September 2019. Yet we’re supposed to believe this was a “novel virus” that didn’t meet any Spaniards until football fans began pouring through the turnstiles of Atalanta versus Valencia 1.
As I explained here, published, peer reviewed and roundly ignored studies have reported similar findings from around the world, with Mexican researchers detecting anti-Sars-Cov-2 IgG antibodies in sera from healthy blood donors as far back as November 2018.
Of course, inconvenient facts like this matter little in a world awash with cancel culture and petrified sheep.
The African Paradox
Curiously, the free-wheelin’ Sars-Cov-2 didn’t make much effort in Africa. Either the virus was racist, or weary African leaders didn’t want any part of yet another deadly Western medical scam. Interestingly, despite Sars-Cov-2 having little impact on Africa, an unusually large number of African leaders died of “COVID-19” during 2020, despite their greater access to high-level medical care when compared to the general population.
Up to February 6, 2021, 24 national government ministers and heads of state worldwide died of “COVID-19” during the ‘pandemic.’ Seventeen of them were African.
A number died whilst hospitalized in Paris or after having recently returned from France, the 9-Eyes member nation that even before COVID was implicated in the deaths of almost two dozen African leaders. This includes the 1987 assassination of Captain Thomas Sankara, President of Burkina Faso, a popular and charismatic leader who was widely considered incorruptible. The reason given by the Compoaré group responsible for the coup in which Sankara was killed was that his nationalizations and anti-imperialist rhetoric were angering the French and neighboring African countries aligned with France.
Many of the individuals who have carried out coups in Africa have been French-trained legionnaires and soldiers.
But I’m sure this is all just a remarkable coincidence. After all, there were a lot of remarkable coincidences during the ‘pandemic.’
History Always Repeats
So here we are in late 2023 with the totalitarian CCP, known for its draconian and inhumane pandemic restrictions, suddenly easing entry requirements and costs to China - right in the middle of an alleged "worrying outbreak" of a "mystery" illness causing "white lung" in children.
Gee, that's not suspicious, is it?
Harming Kids with Gene Therapies, then Blaming it on a "Mystery" Illness
When enacting a con job, it helps if the story behind your swindle has a kernel of truth to it. The story used to kickstart COVID-19 was that a "novel" and "mystery" virus had begun chopping down Wuhan residents in early December 2019. While the "novel" claim is rubbish, the "mystery" part is technically true. When you read the original studies from Chinese researchers describing 'COVID' patients, and the appalling Doherty Institute study that describes the first alleged isolation of Sars-Cov-2 outside of China, it becomes clear to the non-brainwashed what they’re really describing are people with atypical pneumonia.
Atypical pneumonia, quite simply, is pneumonia for which doctors can't (or won't) pinpoint an exact cause. So yes, what caused that pneumonia is, technically speaking, a "mystery." But it's a mystery that happens each and every year when winter rolls around, in China and all around the world.
What the world's hysterical media and our coke-snorting, sex predator leaders failed to share during the Great Plandemic 1.0 was that lower respiratory tract infection (LRTI), primarily in the form of community-acquired pneumonia, has long been a major global health problem and among the top 10 causes of death worldwide. In 2017 alone - well before the Great COVID Con kicked off - Chinese researchers estimated 0.47 billion people developed LRTI, and 2.56 million people died from it.
In 2016, an estimated 1.42 million patients were identified as having one or more community-acquired pneumonia episodes in China (this does not included pneumonia acquired in hospitals, hotbeds of infection).
According to WHO estimates, 450 million cases of pneumonia (upper and lower respiratory tract) are recorded every year; about 4 million people die from this illness, accounting for 7% of total mortality of 57 million people.
Combined with the fraudulent, non-specific COVID PCR test, this gave the masterminds behind the Great COVID Con plenty of leeway to reclassify routine deaths from respiratory ailments as “COVID” deaths.
If you read the 'landmark' Doherty Institute paper for yourself, you'll discover that Patient Aussie Zero (a visitor from Wuhan) was treated with readily available and widely-used antibiotics, as well as non-invasive oxygen administration, and he recovered just fine, despite suffering diabetes and other signs of pre-existing poor health.
As antibiotics do not work against 'viruses' (not my contention, but an official and undisputed mainstream medical tenet), this can only mean the cause of his infection was bacteria, not a novel 'Sars-Cov-2' virus. Those who read the paper for themselves will further observe that the Doherty researchers helpfully but unwittingly admit they never isolated any virus; instead, they had to add trypsin - a protein-digesting enzyme - to the patient sample in order to create ragged edges in cellular particles which they then claimed were the crown-like spikes of a coronavirus.
Shonky is as shonky does.
In short, there was and is nothing 'novel' about the patients being described in the early 2020 papers as "COVID" patients. They were pneumonia patients, and the researchers involved cannot tenably dispute this because the methods they used to claim isolation of Sars-Cov-2 are a complete and utter farce (see here and here).
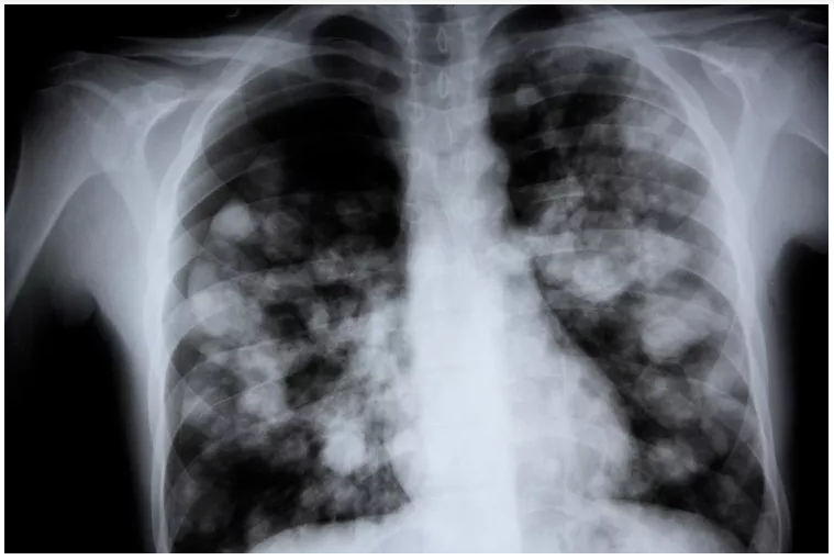
Meet "White Lung" and "Walking Pneumonia", the ‘Novel’ Conditions that Have Been Around Forever
So here we are now in late 2023, with the onset of the Northern Hemisphere winter, and history is repeating itself as media outlets begin hyping the spread of a mysterious respiratory infection in children using scary-sounding terms like "white lung" and the zombie-sounding "walking pneumonia."
But what are "white lung" and "walking pneumonia", exactly?
In short, absolutely nothing new.
White lung refers to the white spots appearing on infected lungs during a chest X-ray. They've existed ever since doctors began taking chest x-rays.
"It’s actually pneumonia caused by a bacteria called mycoplasma pneumoniae ... it’s nothing new or nothing unique," Dr. James Schneider, Chief of Critical Care Medicine at Cohen Children’s Medical Center, told PEOPLE. "When you hear the common colloquial term, 'walking pneumonia,' generally, we're speaking about mycoplasma."

Ohio’s Warren County reiterated this in a recent alert regarding "an extremely high number of pediatric pneumonia cases being reported this fall season," saying, “We do not think this is a novel/new respiratory disease but rather a large uptick in the number of pneumonia cases normally seen at one time.”
So what could possibly be causing an uptick in respiratory infections in youngsters?
I think we all know the answer to that.
The Unsafe and Ineffective Gene Therapies Strike Again
Even an October 2020 paper co-authored by the militantly pro-vaxxx Peter Hotez admitted vaccines developed to treat “coronavirus-associated respiratory syndromes” caused lung damage in animals, while "vaccine associated enhanced respiratory disease" (again: lung damage) was seen in human vaccine trials against respiratory syncytial virus (RSV). As you might expect from the likes of Hotez, the paper nonetheless concluded that vaccine-induced lung damage "may not represent a major threat to ongoing vaccination efforts."
Translated: “Yep, vaccines for respiratory ailments ironically damage lungs, but with enough propaganda this inconvenient little fact doesn’t have to dampen efforts to stick everyone with the impending COVID shots!”
Hotez, who is neck deep in grant and guest speaker money from NIAID (formerly headed by the shady Anthony Fauci), Pfizer and the Bill and Melinda Gates Foundation, was dead right. The majority of the world compliantly got repeatedly pricked full of gene therapies based on technologies with a decades-long track record of failure.
And the world is now paying the price. That includes the countless children of parents who apparently felt their kids weren’t even worth the five minutes of online research that would surely have told them something was amiss with these shady new drugs.
In a recent preprint, Danish researchers report the results of a systematic review and meta-analysis of the overall health effects of mRNA COVID-19 vaccines in children and adolescents.
In their review of heavily-sanitized, Pharma-run phase 3 trials, mRNA 'vaccines' versus placebo were not associated with an overall increased risk of serious adverse events in under-18s. However, the mRNA vaccines were associated with higher risk of severe adverse events in children aged 5 years and older. In children younger than 5 years, mRNA vaccines were associated with a 3-fold higher risk of lower respiratory tract infections.
Which helps explain why children and adolescents, who were almost entirely unaffected by 'COVID,' are suddenly now at increased risk of "white lung" and "walking pneumonia." Their immune systems and lungs have been damaged by the toxic gene therapies they were injected with after being offered up for chemical sacrifice by their terribly gullible parents.
It will be interesting to see whether this preprint passes censorship peer review and makes it into a journal, or whether it gets buried under a barrage of untenable objections, as was routine during COVID 1.0.
Oh, and Masks Still Suck
If Scamdemic 2.0 gets a foothold, expect the reintroduction of mask mandates.
For the children’s sake, of course.
Never mind that a recent study scoured the literature for quality studies confirming the effectiveness of masks in children - and couldn’t find any.
Sandlund et al searched extensively but could find no randomized controlled trials in children assessing the benefits of mask wearing to reduce SARS-CoV-2 infection or transmission.
They did find twenty-two relevant observational studies, 6 of which claimed an association between child masking and lower infection rate or antibody seropositivity. However, all six studies evinced critical (n=5) or serious (n=1) risk of bias; all 6 were potentially confounded by important differences between masked and unmasked groups, and 2 were shown to have non-significant results when reanalyzed.
The sixteen other observational studies found no association between mask wearing and infection or transmission.
As the researchers concluded:
"Real-world effectiveness of child mask mandates against SARS-CoV-2 transmission or infection has not been demonstrated with high-quality evidence. The current body of scientific data does not support masking children for protection against COVID-19."
Masks don’t work in adults, and they don’t work in kids.
Conclusion
Forewarned is forearmed. Please spread this article far and wide, because it’s starting to look like we’re in for another global sodomizing, once again predicated on a pandemic that never was.
Anthony's new book, Not So Fast: The Truth About Intermittent Fasting & Time-Restricted Eating is now available at at Amazon and Lulu.
Leave a Reply